助力优生优育!北京安贞医院南充医院完成600余例胎儿磁共振检查
北京安贞医院南充医院医学影像科设备先进,技术成熟,科室依托南充市产前诊断中心,为广大孕妇提供全面、专业、优质的胎儿医学影像学诊断服务,目前已完成600余例胎儿磁共振检查。

在产前诊断中心,有一项检查,它就是胎儿磁共振检查,时常遭到孕妈们的质疑:什么是胎儿磁共振检查?有辐射吗?对胎儿有影响吗?
什么是胎儿磁共振检查
胎儿磁共振检查是众多产前检查方法之一,是出生缺陷二级防控的重要手段。检查通过磁共振现象获取孕妇和胎儿的图像,帮助医生诊断和鉴别胎儿疾病类型,如侧脑室增宽、先天性膈疝、占位性肿瘤等。

磁共振检查的优势
组织分辨率高,不受含气肠管、体壁厚度、羊水量、胎儿体位的影响,可进行大范围、多参数成像,能清晰显示胎儿各个器官信号特点。
磁共振对孕妇和胎儿是否有影响
胎儿磁共振没有辐射,非常安全,不会对孕妇和胎儿造成任何伤害。磁共振成像原理不存在电离辐射。中华医学会《胎儿MRI中国专家共识》提出:迄今为止,相关中英文文献均未报道使用3.0T及以下场强MRI检查、会对母体或胎儿造成不良后果的案例。
什么时候能进行胎儿磁共振检查
胎儿磁共振检查可以在超声筛查有畸形时进行,一般建议20周以后进行检查,此时胎儿结构基本发育完成,有利于结构的显示。
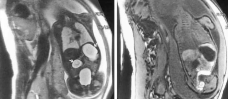
胎儿磁共振检查图像展示
——磁共振胰胆管成像,能清楚地显示胎儿的四肢(手指、脚趾等)。

——肠道成像,能很好地显示胎儿的肠道形态及结构的完整性。

——胎儿骶尾部畸胎瘤,能准确地显示骶尾部病变及其内部成分信息。

——胎儿十二指肠闭锁,能清晰地显示对诊断特异的“双泡征”。

未来,科室将继续秉持“以患者为中心”的理念,竭诚为母婴健康保驾护航。(供稿方:北京安贞医院南充医院)


















